파이안
파이안 소식
ISSUE
상담전화
031.904.8848
진료시간
평        일 : 10시 ~ 6시
토  요  일 : 10시 ~ 3시
점심시간 : 오후 1시 ~ 2시
파이안 소식
줄기세포 첨단과학이 만드는 아름다운 수작
혈액 속의 보물, PRP 주사: ‘성장인자’가 만드는 전신 재생의 효과
2026년 3월 18일

우리 몸은 상처가 나면 스스로 치유하는 능력이 있습니다. 그 자연 치유 능력의 핵심은 바로 혈액 속 ‘혈소판’에 숨겨진 성장인자(Growth Factors)에 있는데요. 오늘은 이 천연 치유 물질을 농축해 탈모, 피부, 관절, 성기능까지 개선하는 PRP 주사를 알아보겠습니다.


1. PRP 주사란 무엇인가요?

PRP는 Platelet Rich Plasma(혈소판 농축 혈장)의 약자로, 본인의 혈액을 채취해 원심분리기로 농축한 성분입니다. 일반 혈액보다 혈소판이 5배 이상 빽빽하게 농축되어 있어 ‘재생의 농축액’이라 불립니다.


2. PRP가 ‘혈액 속 보물’인 진짜 이유: 핵심 성장인자

PRP가 효과적인 이유는 혈소판이 터지면서 방출하는 다양한 성장인자들 때문입니다. 이들은 세포에게 “빨리 재생해!”, “혈관을 만들어!”라고 명령하는 신호 전달자 역할을 합니다.

  • PDGF (판상유래성장인자): 세포 증식과 콜라겐 합성을 촉진합니다.
  • TGF-β (형질전환성장인자): 상처 치유와 연골 대사를 조절합니다.
  • VEGF (혈관내피성장인자): 새로운 혈관을 생성해 조직에 영양을 공급합니다.
  • EGF (상피세포성장인자): 피부 세포의 재생과 상피화를 돕습니다.

3. 탈모 개선: 잠든 모근을 깨우고 모발 수명을 늘리다

PRP 속의 성장인자는 두피 환경을 근본적으로 개선하여 탈모 고민을 해결합니다.

  • 모낭 세포 재생: 위축된 모낭에 직접 작용하여 세포 분열을 촉진, 모발의 굵기를 두껍게 만듭니다.
  • 신생 혈관 유도: 두피 미세혈관을 재생시켜 모근에 영양 공급이 원활해지도록 도로를 닦아줍니다.
  • 휴지기 단축: 모발이 빠지는 시기를 늦추고 성장기를 연장하여 전체적인 모발 밀도를 높입니다. 모발 이식 시 시술하면 생착률이 극대화됩니다.

탈모 치료 PRP 주사

4. 피부 노화 방지: 시간을 되돌리는 자가 세포 재생

단순히 주름을 채우는 필러와 달리, PRP는 피부 바탕질 자체를 건강하게 바꿉니다.

  • 심층 콜라겐 리모델링: 진피층의 콜라겐과 엘라스틴 생성을 유도하여 피부 속부터 차오르는 탄력을 만듭니다.
  • 안색 및 결 개선: 노화로 인해 칙칙해진 피부 톤을 맑게 개선하고, 거친 피부 결을 매끄럽게 복구합니다.
  • 흉터 및 손상 회복: 여드름 흉터나 넓어진 모공 부위의 재생을 도와 매끈한 피부 바탕을 완성합니다.

피부 재생

5. 무릎 관절염: 통증의 원인을 잡고 연골을 보호하다

관절 내 염증 환경을 개선하여 만성적인 통증에서 벗어나게 돕습니다.

  • 강력한 항염 작용: 염증을 유발하는 사이토카인을 억제하여 관절의 붓기와 통증을 빠르게 완화합니다.
  • 연골 세포 사멸 억제: 연골 조직의 파괴를 막고 주변 인대와 힘줄을 강화하여 관절의 안정성을 높입니다.
  • 가동 범위 확대: 뻣뻣했던 관절 마디의 부드러운 움직임을 회복시켜 일상적인 보행의 질을 높여줍니다.

6. 남성을 위한 ‘정력 주사’ P-shot (발기부전 및 강직도 개선)

단순히 일시적인 혈류 확장을 돕는 약물과 달리, PRP는 성기 내 조직 자체를 ‘리모델링’하는 근본적인 치료에 가깝습니다.

  • 혈관 신생 (Angiogenesis): 핵심 성장인자인 VEGFFGF가 음경 해면체 내에 새로운 미세혈관을 만들어냅니다. 혈액이 유입되는 통로가 넓어지고 많아지면서, 발기 시 강직도가 눈에 띄게 단단해집니다.
  • 신경 재생 및 감각 회복: 노화나 당뇨 등으로 손상된 신경 세포의 회복을 도와 성적 자극에 대한 반응 속도를 높입니다.
  • 해면체 평활근 재생: 혈액을 가두어 두는 역할을 하는 해면체 평활근을 강화하여, 발기 유지 시간을 길게 만들어줍니다. (조루 및 발기 유지 곤란 개선)
  • 세포 수준의 건강 회복: 만성 질환으로 인해 위축된 성기 내부 조직의 세포 대사를 활성화하여 근본적인 ‘성적 자신감’을 되찾아줍니다.

P-shot (남성 정력 주사)

7. 여성을 위한 ‘오르가즘 주사’ O-shot (불감증 및 성교통 개선)

여성의 민감 부위에 주입된 PRP는 신경 말단을 깨우고 주변 조직을 젊게 되돌려, 성생활의 질을 획기적으로 높여줍니다.

  • 신경 민감도 극대화: 성장인자가 음핵(클리토리스)과 G-spot 주변의 신경 말단을 재생시켜 작은 자극에도 민감하게 반응하도록 돕습니다. 이를 통해 불감증을 개선하고 오르가즘의 강도를 높여줍니다.
  • 질 벽 재생 및 탄력 강화: 콜라겐과 엘라스틴 생성을 유도하여 얇아지고 늘어진 질 벽을 두껍고 튼튼하게 만듭니다. 이는 성관계 시 밀착감을 높여 파트너와 본인 모두의 만족도를 상승시킵니다.
  • 천연 윤활 기능 회복: 질 점막의 혈류량을 증가시켜 질 건조증을 해결합니다. 폐경기 전후의 성교통을 줄여주고, 반복적인 염증(질염) 예방에도 도움을 줍니다.
  • 요실금 증상 완화: 요도 주변 조직의 근육과 인대를 강화하여 기침이나 운동 시 발생하는 복압성 요실금 개선 효과까지 기대할 수 있습니다.

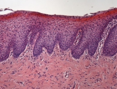
시술 전 질벽
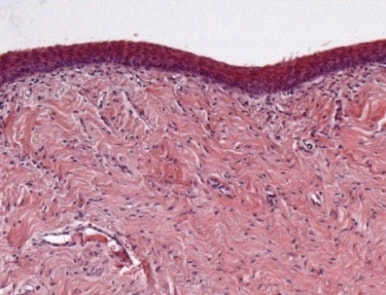
시술 후 두꺼워진 질벽

8. 한 번의 혈액 채취로 여러 부위를 동시에 개선!

PRP 시술의 최대 매력은 ‘원스톱 멀티 케어’입니다. 한 번 넉넉히 채취한 혈액에서 추출된 고농축 PRP는 무릎, 두피, 얼굴, 성기능 개선 부위 등 본인이 원하는 여러 곳에 동시에 주입할 수 있습니다.

“무릎 관절을 치료하면서 동시에 탈모 부위를 관리하고,

성기능 활력까지 챙기는 올인원 재생 치료!”


9. 파이안의 PRP 주사 요법

파이안에서는 오랜 줄기세포 주사 치료와 지방성형 경험에서 PRP를 지속적으로 사용하고 있었습니다.

  • 순도 높은 양질의 PRP 제조: 대용량의 혈액을 동시에 분리가능한 특수 원심분리기로 한번에 다량의 PRP를 추출 할 수 있기 때문에 타 병원에 비해 순도가 높은 양질의 PRP를 시술할 수 있습니다.
  • 성장인자 활성화 기술: PRP가 인체내에 주사후에 빠르게 사라지지 않도록 하는 PRP 활성화는 PRP치료의 핵심중의 하나입니다. 이는 다년간의 경험에서 얻어지는 것이므로 특별한 PRP 효과를 기대할 수 있습니다.
  • 레이져 치료 병행 요법: PRP 주사후에 레이져 병행요법으로 인체에 주사된 PRP의 활성화을 극대화시킵니다.

시간적 여유가 없는 현대인들에게 한 번의 과정으로 전신의 노화를 방지하고 기능을 회복시키는 PRP는 그야말로 ‘혈액 속의 숨겨진 보물’이라 할 수 있습니다.

QUICK MENU