파이안
파이안 소식
ISSUE
상담전화
031.904.8848
진료시간
평        일 : 10시 ~ 6시
토  요  일 : 10시 ~ 3시
점심시간 : 오후 1시 ~ 2시
파이안 소식
줄기세포 첨단과학이 만드는 아름다운 수작
줄기세포 무릎 주사
2018년 4월 12일

무릎이 아프지 않은 어르신이 사시는 집이 있을까요?

아무리 좋은 기계도 오래되면 하나둘씩 고장 나기 마련인 것처럼,

사람마다 그 시기가 다를 뿐이지 오랫동안 쓰다 보면 무릎도 언제 가는 고장 나게 됩니다.

그렇게 무릎을 오래 쓰다 보니 낡아서 고장 나는 것을

좀 더 고상한 말로 무릎의 퇴행성 관절염이라 합니다.

최근에는 운동부족과 과체중 서양식 식습관 등으로 젊은 나이에도

무릎의 퇴행성 관절염이 발생하는 비율이 증가하고 있습니다.

osteoarthritis-knee-sfw 복사본

뼈와 뼈가 맞닿아 있는 관절은 연골이라는 완충 역할을 하는 구조가 있는데요

퇴행성 관절염에서는 연골이 마모되고 파손되기도 하고 심한 경우에는  뼈가 노출되기도 합니다.

그러면서 뼈의 변형인 골극이 생깁니다.

 

 

 

normal-knee-cartilagecartilage-degeneration-knee-oa 복사본

정상 연골의 무릎(좌) 과 연골이 닳아 없어진 퇴행성 관절염 무릎(우)

 

 

이러한 무릎의 변화로 염증과 통증의 증상이 나타나게 됩니다.

처음에는 무릎이 뻑뻑한 느낌이고 움직일 때만 통증이 생기는 반면

심해지면 가만히 있어도 시큰거리는 통증이 있습니다.

자연히 편안히 움직일 수 있는 운동 거리는 짧아지고 무릎의 가용 각도는 줄어듭니다.

 

 

 

knee-pain

 

이런 무릎의 퇴행성 변화는

근력이 약한 여성일수록  체중이 많이 나가는 사람일수록 조기에 발생할 수 있다고 합니다.

체중이 1kg이 늘면 무릎이 받는 하중은 3kg가 증가한다고 하니 그만큼 무릎에 부담이 많이 되는

것은 당연하겠죠?

그럼 퇴행성 무릎 관절염  치료에 대해 알아보겠습니다.

현재까지는 증상에 대한 치료(대증 치료)가 대부분입니다.

1) 염증에 소염제, 통증에 진통제를 처방하고 물리치료

2) 그리고 무릎 연골 주사로 손상된 연골의 보호하는 정도입니다.

그러다가 정말 심해져서 도저히 힘들다고 판단하면

3) 인공관절 수술을 합니다.

doctor-1740044_1920

                                                           인공관절 수술한 무릎의 사진

즉 손상된 연골 조직을 다시 재생하는 치료법은 없고,

염증과 통증을 치료하면서 쓸 만큼 쓰다가 정말 불편해서 안되면 인공관절로 교체하는 것입니다.

그럼, 지금부터는 지방 줄기세포 주사에 대해 알아보겠습니다.

image

우리 몸에는 실제로 넉넉한 지방이 있고,

Stem-cell-1

그 지방을 흡입하여 효소 처리하면

Stem-cell-2

Stem-cell-3 복사본

                                               SVF (줄기세포가 다량 포함된 기질 세포층)

그 지방층 속에 있던 다량의 줄기세포를 얻을 수 있습니다.

stem cell6

                                                                          줄기세포

이 줄기세포는 여러 가지 다른 조직으로 분화 가능성이 있는 세포를 말하는데,

지방 줄기세포는 특정 조건 속에서 지방, 뼈, 연골,으로 분화할 수 있는 능력이 있습니다.

 

지방 줄기세포 무릎 주사란? 

knee-injection-OA-Pain-722x406

 

 

 

 

지방에서 분리한 줄기세포를 연골 손상이 있는 퇴행성 무릎에 주입하여    

손상된 무릎 연골의 재생을 유도하는 치료를 말합니다.

그 효과는 이미 다수의 논문에서 증명되었으며,

1) 관절경 검사  2) 무릎 MRI 검사  3) 치료 후 환자의 평가에서 그 효과를 확인할 수 있습니다.

1) 관절경 검사

arthroscopy-2607439_1920

 

                                                                           관절경 검사

2f69e5ef06449d40b8cbd93089e6dd66 복사본

a :  줄기세포 주사 전 관절경 사진 – 무릎 연골이 닳아 얇아진 모양(붉은색 화살표)을 볼 수 있습니다.
b :  줄기세포 주사 후 직후 관절경 사진 – 지방 줄기세포 + 혈소판 농축 혈장(PRP) 주사
c :  줄기세포 주사 후 9개월째 관절경 사진 – 손상된 연골이 재생이 되어 채워진 모습(파란색 화살표)을
확인할 수 있습니다.

2) 무릎 MRI 검사 

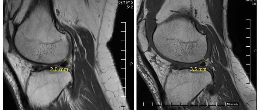
fig2 2

줄기세포 주사 전에 연골의 두께가 2.0mm이었는데 줄기세포 주사 후에는 3.5mm로 증가된 것을

볼 수 있습니다. 줄기세포의 연골 재생으로 무릎 연골의 두께가 증가된 것으로 판단됩니다.

 

 

 

3) 환자의 치료 평가

WOMAC- 관절 통증 지수

12967_2017_1242_Fig2_HTML

무릎의 뻐근함, 통증, 활동 지수 모두에서

줄기세포 주사 후 이미 3개월 평가에서도  환자가 느낄 수 있는 차도가 있다는 것을 확인할 수 있습니다.

여러 논문과 본원의 임상경험을 바탕으로 종합하면 퇴행성 관절염에서 줄기세포 무릎 주사의 효과는

1. 무릎의 통증이 많이 줄었습니다.

2. 무릎관절의 기능이 많이 회복되었습니다.

3. 환자의 만족도가 높았습니다.

4. MRI, 관절경 검사에서 무릎 연골의 개선을 확인할 수 있습니다.

5. 인공 관절 수술의 시기를 늦출 수 있습니다. 

6. 거의 부작용이 없이 안전하다는 것을 확인하였습니다.

이 줄기세포 주사는 연골의 재생이라는 진정한 의미의 치료적 접근으로

조기 퇴행성 무릎 관절뿐만 아니라 진행된 무릎 관절염에서도 증상의 완화 효과가 있고

무릎 관절염의 예방으로 시도하여도 좋을 것이라 생각됩니다…

<무릎 줄기세포 주사 시술 안내>

1. 시술 시간 : 총 4시간 ( 시술시간 2시간 + 줄기세포 분리 2시간 )

2. 입원 : 필요 없음 ( 시술 후 걸어서 퇴원 )

3. 마취 : 국소마취

4. 일상생활 : 가능

5. 회복 : 2주

6. 효과 나타나는 시기 : 시술 후 4-6주

running-573762_1920

저희 병원은 지난 15년간 오직 지방과 지방 줄기세포의 연구에 노력해온 병원입니다.

지방의 줄기세포 치료에 많은 경험과 노하우가 있습니다.

그 적지 않는 경험을 바탕으로 무릎 관절염으로 고생하시는 분들에게

다시 활기찬 내일을 만들어 드리겠습니다.

많은 관심 바랍니다.

 

 

 

QUICK MENU